10 年
手机商铺
公司新闻/正文
946 人阅读发布时间:2019-12-02 15:31


Bioss18周年 感恩回馈活动

以下任一方式参与活动且满足活动要求即可获得价值89元苹果一箱(12粒)或坚果一箱。
活动内容:
参与方式 1:本文末评论区留言,并于评论区留言处集赞,集赞数达30个。(注意:留言由公众号筛选为“精选留言”后才会对所有人显示,待您收到一条“留言入选通知”后就可以邀请朋友为您的留言点赞啦!)(名额限制80人)
具体操作如下:

参与方式 2:朋友圈转发本文同时标注“Bioss 专注抗体助力科研18周年,感恩遇见你”并集赞100个。要求:不可限制“可见范围”哟。(名额限制150人)
申请规则:
1.仅接受收货地址为科研单位且需详细至科研室的申请者;
2.每个科研室限2人申请;
3.礼品有限,先到先得哟!
点击申请领取坚果或苹果
集赞活动时间:2019年12月02日—12月08日
礼品发放时间:2019年12月16日—12月22日
从2001年到2019年,Bioss已经走过了18个年华。岁月不居,天道酬勤,自18年前扬帆起航,Bioss公司始终秉持“自主研发、原始创新,为全球生命科学研究提供优质服务”的经营理念,提供全面的科研抗体、试剂,诊断抗体原料,以及CRO服务。公司现拥有近两万种抗体产品,涵盖人蛋白靶点13000多个;特色产品有特异磷酸化抗体及专利授权AF荧光标记抗体等。此外,公司还提供完善的单/多克隆抗体制备、标记、重组蛋白/多肽合成及各项免疫学检测技术服务等。
以下列出18年来由Bioss收集的IF 20分以上文献数据,供大家了解各靶标蛋白相关产品在各领域的应用。
1. [IF=41.577] Yamaguchi T et al. "Interspecies organogenesis generates autologous functional islets." Nature. 2017 Feb 9;542(7640):191-196.
bs-1014R | CD11b rabbit pAb | IF
Pubmed ID:
http://www.ncbi.nlm.nih.gov/pubmed/28117444
Institution: Division of Stem Cell Therapy, Center for Stem Cell Biology and Regenerative Medicine, Institute of Medical Science, University of Tokyo, Minato-ku, Tokyo, Japan.
2. [IF=40.73] Seok S et al. Transcriptional regulation of autophagy by an FXR-CREB axis. Nature. 2014 Dec 4;516(7529):108-11.
bs-3415R | Phospho-TORC2 (Ser171) rabbit pAb | WB
Pubmed ID:
http://www.ncbi.nlm.nih.gov/pubmed/25383523
Institution: Department of Molecular and Integrative Physiology, University of Illinois at Urbana-Champaign, Urbana, Illinois 61801, USA.
3. [IF=40.73] Parker M et al. C11orf95-RELA fusions drive oncogenic NF-kB signalling in ependymoma. Nature. 2014 Feb 27;506(7489):451-5.
bs-3543R | Phospho-NFKB p65 (Ser276) rabbit pAb | IHC-P
Pubmed ID:
http://www.ncbi.nlm.nih.gov/pubmed/24553141
Institution: St. Jude Children's Research Hospital - Washington University Pediatric Cancer Genome Project, Memphis, Tennessee 38105, USA.
4. [IF=40.137] Seifert L et al. The necrosome promotes pancreatic oncogenesis via CXCL1 and Mincle-induced immune suppression. Nature. 2016 Apr 14;532(7598):245-9.
bs-5805R | RIP1 rabbit pAb | IF
bs-7596R | RIP3 rabbit pAb | IF
Pubmed ID:
http://www.ncbi.nlm.nih.gov/pubmed/27049944
Institution: S. Arthur Localio Laboratory, Department of Surgery, New York University School of Medicine, 550 First Avenue, New York, New York 10016, USA.
5. [IF=40.137] Strilic B et al. Tumour-cell-induced endothelial cell necroptosis via death receptor 6 promotes metastasis. Nature. 2016 Aug 11;536(7615):215-8.
bs-7678R | DR6 rabbit pAb | IF
Pubmed ID:
http://www.ncbi.nlm.nih.gov/pubmed/27487218
Institution: Max Planck Institute for Heart and Lung Research, Department of Pharmacology, Ludwigstrasse 43, 61231 Bad Nauheim, Germany.
6. [IF=39.235] Doloff JC et al. Colony stimulating factor-1 receptor is a central component of the foreign body response to biomaterial implants in rodents and non-human primates. Nat Mater. 2017 Jun;16(6):671-680.
bs-4509R | CXCL13/BCA1 Rabbit pAb | WB
Pubmed ID:
http://www.ncbi.nlm.nih.gov/pubmed/28319612
Institution: David H. Koch Institute for Integrative Cancer Research, Massachusetts Institute of Technology, 500 Main Street, Cambridge, Massachusetts 02139, USA.
7. [IF=38.49]Nguyen KD et al. Circadian gene Bmal1 regulates diurnal oscillations of Ly6Chi inflammatory monocytes. Science. 2013 Sep 27;341(6153):1483-8.
bs-2696R | S100-A8/MRP8 rabbit pAb | FCM
bs-1985R | MCP-2 rabbit pAb | FCM
Pubmed ID:
http://www.ncbi.nlm.nih.gov/pubmed/23970558
Institution: Cardiovascular Research Institute, University of California, San Francisco, CA 94158-9001, USA.
8. [IF=38.138] Brestoff JR et al. Group 2 innate lymphoid cells promote beiging of white adipose tissue and limit obesity. Nature. 2015 Mar 12;519(7542):242-6.
bs-1759R | Met Enkephalin rabbit pAb | FCM
bs-0296R | Mouse IgG rabbit pAb | FCM
Pubmed ID:
http://www.ncbi.nlm.nih.gov/pubmed/25533952
Institution: Jill Roberts Institute for Research in IBD, Joan and Sanford I. Weill Department of Medicine, Department of Microbiology and Immunology, Weill Cornell Medical College, Cornell University, New York, New York 10021, USA.
9. [IF=37.205] Mayers JR et al. Tissue of origin dictates branched-chain amino acid metabolism in mutant Kras-driven cancers. Science. 2016 Sep 9;353(6304):1161-5.
bs-10125R | SLC7A5 rabbit pAb | WB
Pubmed ID:
http://www.ncbi.nlm.nih.gov/pubmed/27609895
Institution: Koch Institute for Integrative Cancer Research, Massachusetts Institute of Technology, Cambridge, MA 02139, USA.
10. [IF=34.661] Yang SY et al. Regulatory T cells generated early in life play a distinct role in maintaining self-tolerance. Science. 2015 May 1;348(6234):589-94.
bs-0315R | FGL2 rabbit pAb | FCM
Pubmed ID:
http://www.ncbi.nlm.nih.gov/pubmed/25791085
Institution: Division of Immunology, Department of Microbiology and Immunobiology, Harvard Medical School, Boston, MA 02115, USA.
11. [IF=32.621] Daley D et al. Dectin 1 activation on macrophages by galectin 9 promotes pancreatic carcinoma and peritumoral immune tolerance. Nat Med. 2017 May;23(5):556-567.
bs-1699R | Galectin 9 rabbit pAb | IF
Pubmed ID:
http://www.ncbi.nlm.nih.gov/pubmed/28394331
Institution: S.A. Localio Laboratory, Department of Surgery, New York University School of Medicine, New York, New York, USA.
12. [IF=30.357] Dumont NA et al. Dystrophin expression in muscle stem cells regulates their polarity and asymmetric division. Nat Med. 2015 Dec;21(12):1455-63.
bs-5742R-AF647 | AF647 Conjugated p-MARK2(Thr596) Rabbit pAb | IF
Pubmed ID:
http://www.ncbi.nlm.nih.gov/pubmed/26569381
Institution: Sprott Center for Stem Cell Research, Ottawa Hospital Research Institute, Regenerative Medicine Program, Ottawa, Ontario, Canada.
13. [IF=28.467] Homan KA et al. Flow-enhanced vascularization and maturation of kidney organoids in vitro. Nat Methods. 2019 Mar;16(3):255-262.
bs-10412R-AF555 | AF555 Conjugated FLK1 rabbit pAb | FCM
Pubmed ID:
http://www.ncbi.nlm.nih.gov/pubmed/30742039
Institution: Wyss Institute for Biologically Inspired Engineering, Harvard University, Cambridge, MA, USA.
14. [IF=25.809] Liu G et al. Engineering Biomimetic Platesomes for pH‐Responsive Drug Delivery and Enhanced Antitumor Activity. Adv Mater. 2019 Jun 20:e1900795.
bs-0561R | CD62p rabbit pAb | WB
Pubmed ID:
http://www.ncbi.nlm.nih.gov/pubmed/31222856
Institution: CAS Key Laboratory for Biomedical Effects of Nanomaterials & Nanosafety, CAS Center for Excellence in Nanoscience, National Center for Nanoscience and Technology, Beijing, 100190, China.
15. [IF=23.394] Fletcher RB et al. Deconstructing Olfactory Stem Cell Trajectories at Single-Cell Resolution. Cell Stem Cell. 2017 Jun 1;20(6):817-830.e8.
bs-4690R | CD142 rabbit pAb | FCM
Pubmed ID:
http://www.ncbi.nlm.nih.gov/pubmed/28506465
Institution: Department of Molecular and Cell Biology, University of California, Berkeley, CA 94720, USA.
16. [IF=23.394] Li FY et al. Prostaglandin E1 and Its Analog Misoprostol Inhibit Human CML Stem Cell Self-Renewal via EP4 Receptor Activation and Repression of AP-1. Cell Stem Cell. 2017 Sep 7;21(3):359-373.e5.
bs-1876R-AF647 | AF647 Conjugated EP3/PTGER3 rabbit pAb | FCM
bs-6316R-AF647 | AF647 Conjugated EP1 rabbit pAb | FCM
Pubmed ID:
http://www.ncbi.nlm.nih.gov/pubmed/28844837
Institution: Department of Microbiology and Immunology, Carver College of Medicine, University of Iowa, Iowa City, IA 52242, USA.
17. [IF=22.634] Lagadinou ED et al. BCL-2 inhibition targets oxidative phosphorylation and selectively eradicates quiescent human leukemia stem cells. Cell Stem Cell. 2013 Mar 7;12(3):329-41.
bs-3889R | NOX2 rabbit pAb | FCM
Pubmed ID:
http://www.ncbi.nlm.nih.gov/pubmed/23333149
Institution: James P. Wilmot Cancer Center, University of Rochester Medical Center, 601 Elmwood Avenue, Rochester, NY 14642, USA.
18. [IF=22.634]Yamamizu, Kohei, et al. "Protein Kinase A Determines Timing of Early Differentiation through Epigenetic Regulation with G9a. Cell Stem Cell. 2012 Jun 14;10(6):759-770.
bs-2358R-PE | PE Conjugated FOXA2 Rabbit pAb | FCM
bs-0008R-PE | PE Conjugated Nestin Rabbit pAb | FCM
Pubmed ID:
http://www.ncbi.nlm.nih.gov/pubmed/22704517
Institution: Department of Stem Cell Differentiation, Institute for Frontier Medical Sciences, Kyoto University, Kyoto 606-8507, Japan.
19. [IF=22.387] Bu et al. A miR-34a-Numb Feedforward Loop Triggered by Inflammation Regulates Asymmetric Stem Cell Division in Intestine and Colon Cancer. Cell Stem Cell. 2016 Feb 4;18(2):189-202.
bs-12349R | ASCL2 rabbit pAb | IF
Pubmed ID:
http://www.ncbi.nlm.nih.gov/pubmed/26849305
Institution: School of Electrical and Computer Engineering, Cornell University, Ithaca, NY 14853, USA.
20. [IF=21.95] SShi L et al. A Self‐Pumping Dressing for Draining Excessive Biofluid around Wounds. Adv Mater. 2019 Feb;31(5):e1804187.
SP-0023 | SP Kit | IHC-P
C02-04001 | DAB Kit | IHC-P
bs-2549R | CXCL-5 Rabbit pAb | IHC-P
Pubmed ID:
http://www.ncbi.nlm.nih.gov/pubmed/30537340
Institution: CAS Key Laboratory of Bio-inspired Materials and Interfacial Science, CAS Center for Excellence in Nanoscience, Technical Institute of Physics and Chemistry, University of Chinese Academy of Sciences, Beijing, 100190, P. R. China.
21. [IF=21.506] Iversen MB et al. An innate antiviral pathway acting before interferons at epithelial surfaces. Nat Immunol. 2016 Feb;17(2):150-8.
bs-1502R | CXCL10/IP10 rabbit pAb | IHC-P
Pubmed ID:
http://www.ncbi.nlm.nih.gov/pubmed/26595890
Institution: Department of Biomedicine, University of Aarhus, Aarhus, Denmark.
22. [IF=21.126] Li X et al. The DNA modification N6-methyl-2'-deoxyadenosine (m6dA) drives activity-induced gene expression and is required for fear extinction. Nat Neurosci. 2019 Feb 18.
bs-0385R-AF647-AF488 | AF647&AF488 double Conjugated Arc rabbit pAb | FCM
bs-0385R-AF647 | AF647 Conjugated Arc rabbit pAb | FCM
bs-1613R-AF488 | AF488 Conjugated NeuN rabbit pAb | FCM
Pubmed ID:
http://www.ncbi.nlm.nih.gov/pubmed/30778148
Institution: Cognitive Neuroepigenetics Laboratory, Queensland Brain Institute, The University of Queensland, Brisbane, Queensland, Australia.
23. [IF=20.773] van Rijn JM et al. Intestinal Failure and Aberrant Lipid Metabolism in Patients With DGAT1 Deficiency. Gastroenterology. 2018 Jul;155(1):130-143.e15.
bs-12998R | DGAT2 rabbit pAb | WB
Pubmed ID:
http://www.ncbi.nlm.nih.gov/pubmed/29604290
Institution: Division of Pediatrics, Department of Pediatric Gastroenterology, Wilhelmina Children's Hospital, Utrecht University, Utrecht, The Netherlands.
24. [IF=20.565] Aguayo-Mazzucato C et al. β Cell Aging Markers Have Heterogeneous Distribution and Are Induced by Insulin Resistance. Cell Metab. 2017 Apr 4;25(4):898-910.e5.
bs-2523R | CD99 Rabbit pAb | IF
Pubmed ID:
http://www.ncbi.nlm.nih.gov/pubmed/28380379
Institution: Joslin Diabetes Center, Harvard Medical School, One Joslin Place, Boston, MA 02215, USA.
25. [IF=20.565] Miller A et al. Exploring Metabolic Configurations of Single Cells within Complex Tissue Microenvironments. Cell Metab. 2017 Nov 7;26(5):788-800.e6.
bs-5758R-AF647 | AF647 Conjugated FAPA rabbit pAb | IF
bs-0468R-AF488 | AF488 Conjugated CD31 rabbit pAb | IF
Pubmed ID:
http://www.ncbi.nlm.nih.gov/pubmed/28889950
Institution: Department of Laboratory Medicine, Medical University of Vienna, 1090 Vienna, Austria.
26. [IF=20.06] van Ree JH et al. Pten regulates spindle pole movement through Dlg1-mediated recruitment of Eg5 to centrosomes. Nat Cell Biol. 2016 Jul;18(7):814-21.
bs-7804R | KIF15 rabbit pAb | IF
Pubmed ID:
http://www.ncbi.nlm.nih.gov/pubmed/27240320
Institution: Departments of Pediatric and Adolescent Medicine, Mayo Clinic College of Medicine, Rochester, Minnesota 55905, USA.
27. [IF=20.011] Wang et al. Targeting YAP-Dependent MDSC Infiltration Impairs Tumor Progression.
bs-1629R | CXCR2 rabbit pAb | IHC-P
bs-2549R | CXCR2 rabbit pAb | IHC-P
Pubmed ID:
http://www.ncbi.nlm.nih.gov/pubmed/26701088
Institution: Department of Cancer Biology, The University of Texas MD Anderson Cancer Center, Houston, Texas. Department of Genomic Medicine, The University of Texas MD Anderson Cancer Center, Houston, Texas.
28. [IF=20.011] Pylayeva-Gupta Y et al. IL-35 producing B cells promote the development of pancreatic neoplasia. Cancer Discov. 2016 Mar;6(3):247-55.
bs-0698R | IL-10 Rabbit pAb | IF
Pubmed ID:
http://www.ncbi.nlm.nih.gov/pubmed/26715643
Institution: Department of Biochemistry and Molecular Pharmacology, New York University School of Medicine, New York, New York.
若您在19年1月1日之后有已发表SCI文章,但未被我公司收集,也请致电我们,我们将赠予现金鼓励,金额标准请参考“发文章 领奖金”活动页面。
优质产品数据展示

Phospho-c-Fos (Ser362) (bs-12910R) Tau (bs-20443R)
Human, Mouse, Rat Human, Mouse, Rat
Vimentin (bs-0756R ) Vimentin(bs-0756R-AF594)
HeLa HUVEC
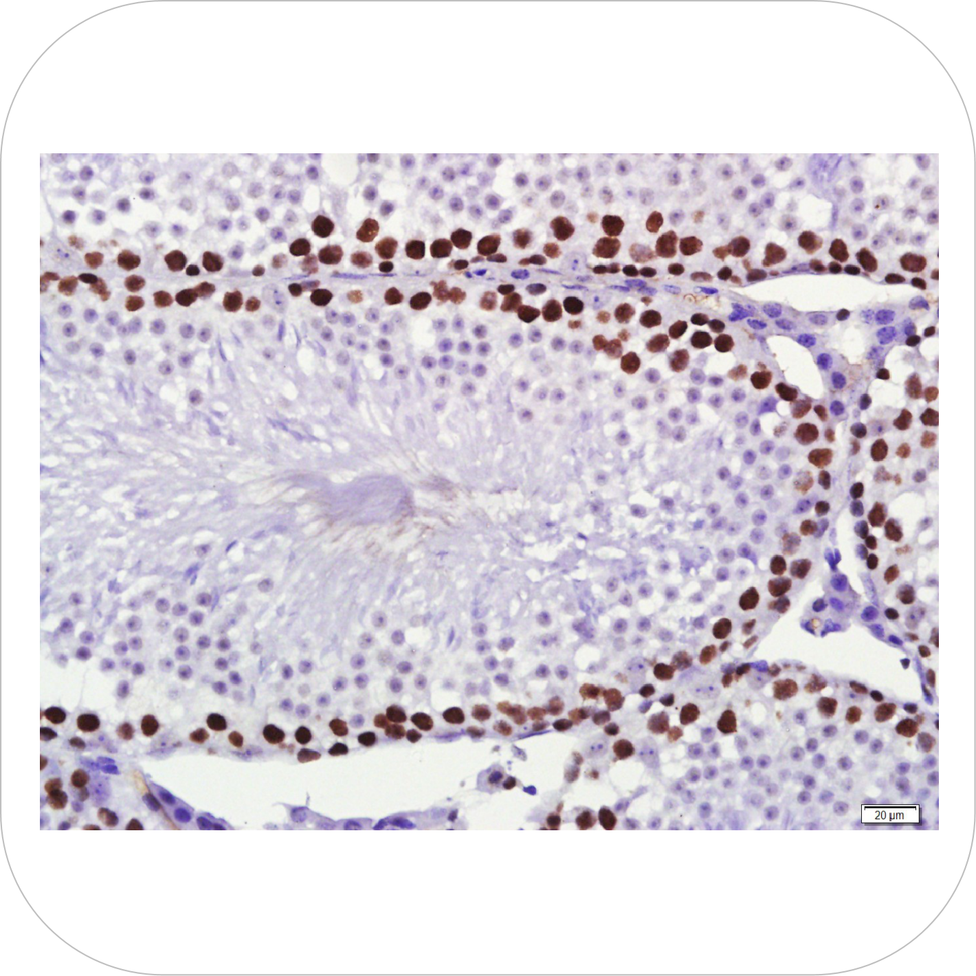
PCNA (bsm-33035M) GFAP (bsm-33065M)
Mouse testis Rat brain