10 年
手机商铺
公司新闻/正文
835 人阅读发布时间:2020-11-24 09:12


在生物实验中,为了能够清楚地观察到目标组织或细胞,通常会采用染色的方式进行直观验证。面对形态各异的组织和细胞,科研工作者会用多种多样的染色方法佐证自己的实验结果。选择了适当的染色液,就更容易观察到预期的实验现象或结果。借助于迅速发展的生物染色技术和成熟的成像仪器,生物染色液、显色剂在分子检测、生物机制研究、肿瘤标记诊断等各个领域都有了更广泛的应用。

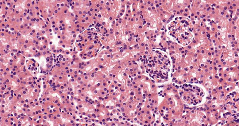
小鼠肾组织,苏木素-伊红染色试剂盒 (C02-04004) 染色

人口腔鳞状细胞,DAPI (C02-04002) 染色

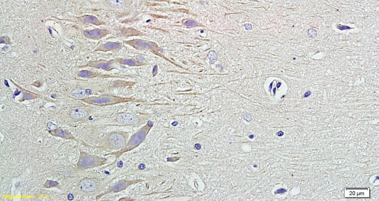
大鼠脑组织,DAB (C-0010) 染色