10 年
手机商铺
公司新闻/正文
718 人阅读发布时间:2021-05-13 10:44



为什么要选我?
严格质控:保证高重复性、高特异性此次促销产品均经过严格的靶标种属特异性验证、以及应用的功能性验证,以确保抗体批次稳定性,并保证抗体高重复性、高特异性。
性价比高、科研工作者青睐
促销抗体——部分高频次文献引用抗体列表
| 英文名称 | 产品编号 | 交叉反应 (已验证) |
产品应用 (已验证) |
文献数量 |
| Bax | bs-0127R | Hu Mo Rt Rab | WB IHC ICC FCM | 97 |
| AKT1 | bs-0115R | Hu Mo Rt Pg | WB ICC FCM | 45 |
| MTOR | bs-1992R | Hu Mo Rt Chi | WB IHC ICC IF FCM | 25 |
| Smad3 | bs-3484R | Hu Mo Rt Pg | WB IHC ICC FCM | 22 |
| Smad2 | bs-0718R | Hu Mo Rt | WB IHC FCM | 21 |
| KEAP1 | bs-3648R | Hu Mo Rt | WB IHC | 13 |
| Wnt3a | bs-1700R | Hu Mo Rt | WB IHC | 13 |
| STAT3 | bs-1141R | Hu Mo Rt |
IHC ICC FCM |
12 |
| Shh | bs-1544R | Hu Mo Rt | WB IHC | 12 |
| PIK3CA | bs-2067R | Hu Mo Rt | WB IHC | 10 |
| NQO1 | bs-2184R | Hu Mo Rt | WB IHC | 9 |
| HGF | bs-1025R | Hu Mo | IHC FCM | 8 |
| RAC1 | bs-4186R | Mo | WB | 7 |
| CDK6 | bs-0568R | Hu Mo Rt | WB IHC FCM | 7 |
| IGF1R | bs-0227R | Hu Mo Dg | IHC FCM | 7 |
| RPS6KB1 | bs-6370R | Hu Rt | WB IHC | 6 |
| CDK2 | bs-0757R | Hu | WB FCM | 6 |
| FGF23 | bs-5768R | Rt | WB | 6 |
| Bax | bs-0127M | Hu Mo Rt | WB IHC ICC | 5 |
| CDK4 | bs-0633R | Hu Mo Rt | WB IHC ICC FCM | 5 |
| STAT1 | bs-1317R | Rt | IHC | 5 |
| GSTP1 | bs-2735R | Hu Mo | IHC FCM | 5 |
| PTEN | bs-0748R | Hu Mo | WB IHC ICC FCM | 5 |
促销抗体验证数据展示

Anti-SMARCA4
WB Human 293T/ (KO) 293T Cell

Anti-STAT3
ICC Human A549 cell

Anti-Bax
ICC Human Sh-sy5y cell

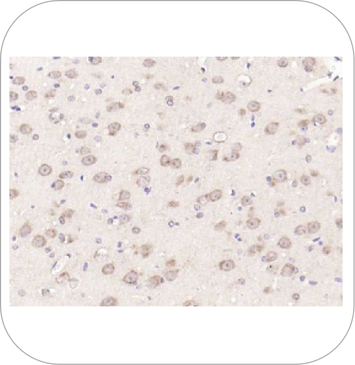
Anti-MTOR
IHC Mouse brain

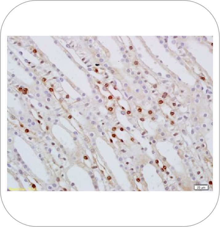
Anti-SMARCA2
IHC Rat Kidney

Anti-AKT1
WB Human/Rat/Mouse

Anti-KEAP1
IHC Mouse Brain

Anti-FGFR2
FCM Rat L6 cells

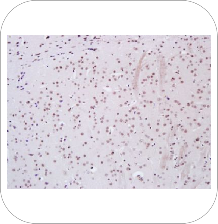
Anti-Rad51
IHC Mouse Intestine

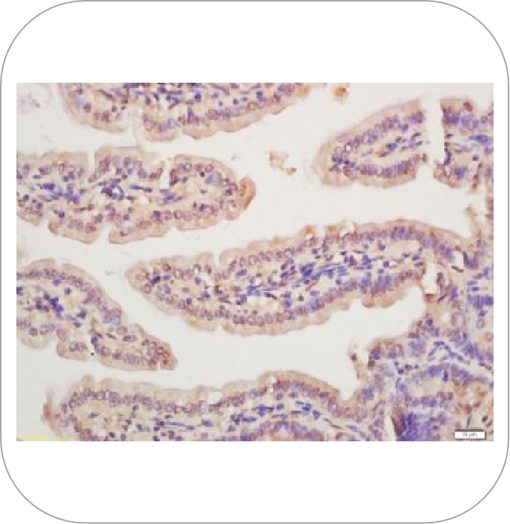
Anti-GSTT1
IHC Rat Liver