

IF=14.919
引用产品:bs-0979R(Rabbit Anti-CD38)
Sample:Rat
Application:IF
文章作者及单位:王金凤 中国科学院北京生命科学研究院
阴道和子宫微生物群对女性生殖系统的健康起重要作用。而该组织中微生物之间的相互作用及其对子宫健康的影响尚不清楚。本篇文章通过收集145名女性阴道和子宫微生物样本,并结合数据分析以及动物实验,以研究女性生殖道内微生物易位及其在调节子宫健康中的作用。随着年龄的增长,子宫和阴道微生物群的变异及增加逐渐具有趋同性。此外,将某些阴道细菌移植到大鼠阴道可以诱导或减轻子宫内膜炎样症状,也验证了某些阴道细菌对子宫内膜的损伤或保护作用。本研究阐明了阴道细菌易位与子宫微生态和子宫内膜健康的相互依赖关系,将增加我们对女性生殖健康的理解。
人体不同系统内微生物群并不是彼此分离。异源细菌可能普遍传播和定植于另一个组织或器官,刺激炎症并增加癌症等疾病发生的风险。以往存在许多微生物交叉定植的例子,例如共生细菌可从其他部位传播到孕妇子宫腔及胎儿体内,以及由于肠道细菌易位到胎盘而诱发先兆子痫。普遍认为胃酸可以阻止口腔与肠道之间有效微生物通讯和易位,但近期已证实口腔细菌可频繁通过消化道迁移到肠道。在胰腺癌和结肠直肠癌中均观察到特定口腔细菌如核梭杆菌的富集。
类似胃液和宫颈粘液,可以阻碍微生物在口腔与肠道、子宫腔与阴道之间自由通过。而当前高迁移率子宫微生物和细菌物种的来源被广泛关注。与阴道微生物群相反,目前仍对子宫腔内微生物群缺乏了解。据报道女性上生殖道中可能普遍存在活菌,其中包括子宫在内。关于微生物类群,主要在同一个体生殖道的不同部分之间共享,这表明从阴道到腹膜,微生物群逐渐变化,据推测女性下生殖道或腹膜液中微生物可转移至上生殖道中。
各类乳酸杆菌是健康育龄女性阴道中的主要细菌,其产生的乳酸可维持阴道环境低pH值,抑制有害菌生长,使微生态保持相对平衡的状态。而在异常情况下,阴道乳酸杆菌丰度可能显著降低,导致pH升高。pH值升高会导致有害细菌如加德纳菌和普雷沃氏菌的增殖,从而导致微生态失调以及相关疾病发生风险的增加,包括细菌性阴道病和尿路感染。同样子宫微生物群的改变与各种宫内疾病密切相关,如子宫内膜异位症,子宫内膜息肉和子宫内膜癌,甚至可能影响子宫内膜对胚泡的接受性。由此可见,阴道和子宫微生物群的生态稳定性对女性生殖系统的健康起着重要作用。理论上,子宫腔和阴道在生理上是相邻的,阴道细菌有机会通过子宫颈向上迁移至子宫。以往研究推测宫内感染是由阴道细菌上升到宫腔引起的,但这两个部位之间的微生物交流仍不清楚,当阴道细菌转移到上生殖系统时,子宫内微生物群调节和疾病诱发的机制仍然模糊不清。
在本实验中,分别对健康女性和慢性子宫内膜炎女性阴道和子宫样本进行收集,并对1000多个样本的生殖道微生物进行数据分析。通过将这些结果与动物实验结果相结合,揭示女性生殖道中的微生物易位并阐明阴道微生物群紊乱对宫内微生物群和生殖健康的影响。以上结果也表明阴道微生物群和细菌易位对子宫微生态和子宫内膜健康的相互依赖作用,也深化对微生物交叉传播的理解以及它们在调节女性身体健康中的作用。

研究结果(一)
本实验随机选择健康、患有慢性子宫内膜炎和细菌性阴道病的女性各10名,并对其进行阴道灌洗,将灌洗液移植到已接受1周抗生素治疗的SD大鼠(n=10)阴道中。移植后每天一次(连续3周)进行qPCR和ELISA实验,治疗结束后进行显微镜学观察、TNF-α和CD38免疫荧光实验。
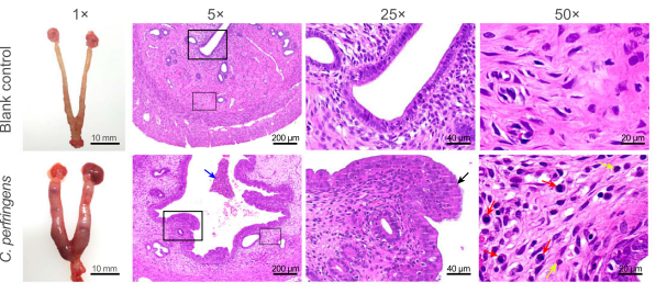
在慢性子宫内膜炎患者阴道菌群移植的大鼠中,TNF-α、CD38、IL1β等细胞因子和炎性因子的mRNA表达水平比移植健康组和对照组的微生物群显著升高。细菌性阴道病组中细胞因子水平也有所升高但低于慢性子宫内膜炎组,该结果反映子宫内膜炎患者阴道微生物群可有效刺激子宫炎症。慢性子宫内膜炎组大鼠子宫体水肿增大,表现为多发点状炎性病变(5×视野),子宫内膜增生(25×)和多核细胞增多(50×)。免疫荧光检测结果显示,与健康组和对照组相比,慢性子宫内膜炎组的子宫内膜组织中存在TNF-α和CD38信号。
慢性子宫内膜炎女性阴道微生物群可引起子宫腔炎症,可能由细菌易位或炎症因子引起,这些因子可穿过宫颈屏障进入子宫腔。


阴道细菌对子宫内膜的破坏及保护作用
作者为研究某些阴道细菌迁移对子宫腔的影响及其对子宫炎症的刺激,将单个细菌移植到阴道中以建立宫内炎症模型。像普氏菌和梭状芽孢杆菌为建模的理想菌种,可在子宫内膜炎患者子宫或阴道微生物群中富集,并在不同身体部位表现出协同变异。作者通过基因测序等数据分析发现子宫内膜炎组的普氏菌与梭状芽孢杆菌更丰富。普氏菌,最初是从子宫内膜分离出来的一种菌属;产气荚膜梭菌曾用于构建子宫内膜炎模型,以上两种菌属将用于以下阴道移植实验。
作者推测阴道中可能存在某些细菌可通过逆转二路普氏菌或产气荚膜梭菌炎症作用而发挥保护作用。鉴于健康女性子宫和阴道微生物组中乳酸杆菌相对丰度显着高于子宫内膜炎患者,故作者选择鼠乳杆菌评估其对SD大鼠子宫内膜健康的保护作用。
处理组:将生长至对数期的二路普氏菌每日一次(持续3周)注射到SD大鼠阴道中,注射完成3天后收集宫内组织和子宫阴道灌洗液样品,同时对产气荚膜梭菌也进行相同的移植程序。干预组:普氏菌和产气荚膜梭菌每周四次(持续三周)移植到阴道中以诱导子宫腔炎症。同时将鼠乳杆菌移植到阴道内一次,在每两次产气荚膜梭菌处理后交替补充,使得产气荚膜梭菌和鼠乳杆菌分别每周移植到阴道中四次和两次。为验证阴道中细菌代谢物是否也可以引起子宫炎症,作者增加移植一组产气荚膜梭菌上清液,该处理与产气荚膜梭菌组相似,不同之处在于活细菌被其培养液的上清液代替,干预3周。进行显微镜学观察、免疫荧光、荧光原位杂交及基因测序。
处理组结果:与对照组相比,处理组宫内组织炎症因子水平,子宫体直径,宫腔和阴道细菌生物量均显着增加,且以上指标之间存在显着正相关,处理组大鼠子宫体表现出水肿增大;TNF-α和CD38抗体的组织切片和免疫荧光结果表现多发点状炎症和子宫内膜增生;荧光原位杂交结果显示子宫腔内细菌总数与移植细菌种类生物量均成较高趋势。
干预组结果:仅移植产气荚膜梭菌的大鼠宫腔组织炎症因子、子宫体直径、宫腔阴道细菌量明显增高。且鼠乳杆菌移植组和产气荚膜梭菌上清液组之间没有显着差异。通过基因测序,显示移植产气荚膜梭菌的子宫腔内有更多的梭菌。产气荚膜梭菌阴道移植大鼠的子宫微生物组中发现有类杆菌属和普氏菌的富集,而双歧杆菌则呈现相反的趋势。
阴道中的细菌可以上升到子宫腔中定殖、生长引起炎症,但若仅通过将其代谢物释放到阴道中则不能达到相同水平的刺激。鼠乳杆菌可以抑制阴道产气荚膜梭菌的生长并减少子宫产气荚膜梭菌和其他有害菌生物量,因此可能在减少子宫炎症中起保护作用。

