10 年
手机商铺
公司新闻/正文
414 人阅读发布时间:2021-11-11 15:43

为感谢大家对Bioss 的信任与支持,特推出每月“上新福利”活动。欢迎申请试用,试用申请截止日期:2021年11月26日。
申请试用装请填写以下链接:https://jinshuju.net/f/dtOCZS
| 靶标名称 | 编号 | 交叉反应 | 产品应用 |
| ACE2 | bs-46001R | Hu | IHC |
| BDKRB1 | bs-24921R | Hu | WB ELISA |
| CREB3L3 | bs-24837R | Mo Rat | WB ELISA |
| Desmin | bs-33858R | Hu Mo Rat |
IHC |
| EIF4B | bs-33857R | Hu Mo Rat |
WB IHC |
| MYH7 | bs-24941R | Rat | ELISA IHC |
| Proteasome 20S alpha 1 | bs-9360R | Hu Mo Rat |
ELISA IHC IF |
| CD11b | bsm-30073M | Hu | ELISA |
| GAPDH (Loading Control) | bsm-77003M | Hu Rat | WB IHC |
| P63 | bsm-33422M | Hu | IHC |
| S100A8 | bsm-33861M | Hu | IHC |
| S100A8+A9 Complex | bsm-33860M | Hu | IHC |
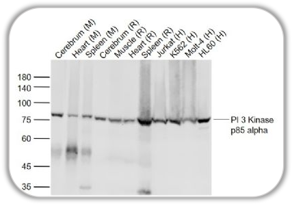
| PI 3 Kinase p85 alpha | bsm-77002M | Hu Mo Rat |
WB |
| Serum albumin | bsm-77001M | Hu | WB |
产品展示
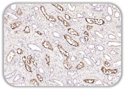
Anti-ACE2 Antibody (bs-46001R)
IHC Human Kidney

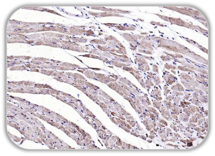
Anti-Desmin antibody (bs-33858R)
IHC Mouse Heart

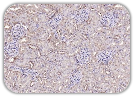
Anti-Proteasome 20S alpha 1 antibody
(bs-9360R) IHC Rat Kidney

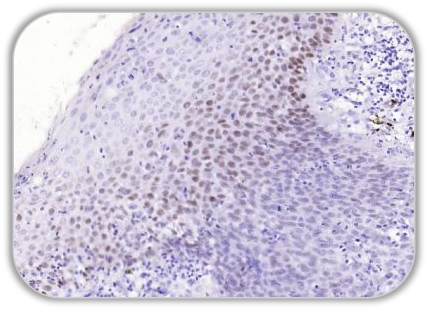
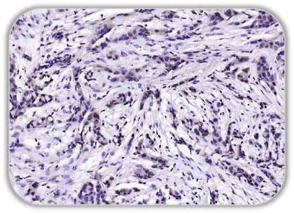
Anti-P63 antibody (bsm-33422M)
IHC Human Cervical Carcinoma

Anti-S100A8 antibody (bsm-33861M)
IHC Human Breast Carcinoma

Anti-PI 3 Kinase p85 alpha antibody

Anti-CREB3L3 antibody (bs-24837R)
