10 年
手机商铺
公司新闻/正文
840 人阅读发布时间:2021-12-24 09:41


在生物实验中,为了能够清楚地观察到目标蛋白、组织或细胞,通常会采用染色的方式进行直观验证。面对形态各异的组织和细胞,科研工作者会用多种多样的染色方法佐证自己的实验结果。选择了适当的染色液,就更容易观察到预期的实验现象或结果。
C02-04002 DAPI 染色液(即用型)
DAPI 即4',6-二脒基-2-苯基吲哚,是能与 DNA 强力结合的荧光染料,常用于荧光显微镜及共聚焦观测。DAPI 可以透过完整的细胞膜,用于活细胞和固定细胞的染色。
C-0010 DAB显色试剂盒 (20×)
DAB, 3,3'-diaminobenzidine,是辣根过氧化物酶的常用生色底物,在过氧化氢的存在下失去电子而呈现出颜色变化,形成浅棕色不溶性产物,用于检测过氧化物酶的活性。
本试剂盒灵敏度高,特异性好,可以用于在免疫组化或原位杂交时结合有辣根过氧化物酶的细胞或组织显色,也可以用于 Western blot 中结合有辣根过氧化物酶的膜的显色检测。同时也可以用于细胞或组织内源性的辣根过氧化物酶显色。
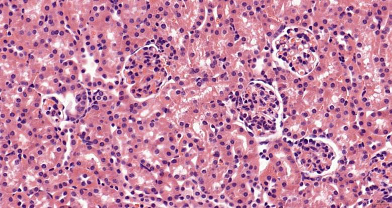
组织学和病理学标本的染色方法很多,但最基本的染色方法是hematoxylin-伊红染色。该方法可将细胞核染成蓝紫色,细胞质染成粉红色,使细胞结构对比分明。
hematoxylin 是从热带植物苏木中提取的一种色素,hematoxylin不能直接染色,必须暴露在空气中变成氧化hematoxylin(又叫苏木素)——“成熟”后才能使用。hematoxylin的“成熟”需时较长,配制后时间愈久,染色力愈强。苏木素中带正电荷的色精可吸附在细胞核中带负电荷的核酸成份上而将细胞核染成蓝紫色。伊红是带负电荷的酸性染料,使细胞浆呈现粉红色或红色。
苏木素-伊红染色试剂盒 (Hematoxylin-Eosin Staining Kit) 可以广泛用于组织切片或培养细胞的染色,或与免疫组织化学、免疫细胞化学、免疫荧光、原位杂交等配合使用,步骤简便,操作时间短。使用苏木素-伊红染色试剂盒染色后,也可以进行免疫染色或其它染料的复染。染色后的细胞核呈现蓝色,细胞浆呈现粉红色或红色。
产品列表
以上4种染色液产品正在参与“CY1101”及“Universal card”促销活动,点击下方图片查看促销详情