新品上市丨实验试剂一盒配齐 完美结果一次搞定
519 人阅读发布时间:2023-01-10 11:48
背景资料
免疫组织化学(Immunocytochemistry, IHC)是临床病理诊断中常用的技术和手段,融合了免疫学原理(抗原抗体特异性结合)和组织学技术(组织的取材、固定、包埋、切片、脱蜡、水化等),通过化学反应使标记抗体的显色剂(荧光素、酶、金属离子、同位素)显色,对组织(细胞)内的抗原进行定位、定性及相对定量。通过标记物标记的抗体与组织或细胞的抗原(如蛋白质、多肽、酶、激素、病原体以及受体等)反应,结合形态学检查,对抗原作定性、定量、定位检测,进而深入探究其功能。
免疫组化技术按照标记物的种类可分为免疫荧光法、免疫酶法、免疫铁蛋白法、免疫金法及放射免疫自显影法等。实验所用主要为组织标本和细胞标本两大类,前者包括石蜡切片(病理切片和组织芯片)和冰冻切片,后者包括组织印片、细胞爬片和细胞涂片。
产品信息
IHC即用型试剂盒产品列表
| 靶点 | 交叉反应 | 交叉反应 |
| GFAP | Human,Mouse,Rat | Human,Mouse,Rat |
| H3C1 | Human,Mouse,Rat | Human,Mouse,Rat |
| TFF3 | Mouse,Rat | Human,Mouse,Rat |
| GCG | Human,Mouse,Rat | Human,Mouse,Rat |
| MYBL2 | Human,Mouse,Rat | Human |
| CALB1 | Human,Mouse,Rat | Human |
| MBP | Human,Mouse,Rat | Human,Mouse,Rat |
IHC即用型试剂盒产品组分及规格
| 编号 | 组分 | 50T | 浓度 | 储存 |
| 1 | PBS缓冲液(干粉) | 2 L×2 | 20x | 室温 |
| 2 | 抗原修复缓冲液 | 20 ml | 100x | 2-8℃ |
| 3 | 内源性过氧化物酶阻断剂 | 3 ml | RTU | 2-8℃ |
| 4 | 封闭工作液 | 3 ml | RTU | 2-8℃ |
| 5 | 一抗稀释液 | 6 ml | RTU | 2-8℃ |
| 6 | HRP标记羊抗兔/鼠IgG二抗稀释液 | 6 ml | RTU | 2-8℃ |
| 7 | DAB kit(20×)显色液 | 0.3 ml | RTU | -20℃ |
| 8 | DAB kit(20×)稀释液 | 0.3 ml | RTU | -20℃ |
| 9 | 复染试剂 | 5 ml | RTU | 室温 |
| 10 | 封片剂 | 5 ml | RTU | 室温 |
| 11 | 对照切片 | 3/1张 | RTU | 室温 |
| 12 | 说明书 | 1份 | | |
产品优势
⒈即用便捷,安全高效
试剂盒包括IHC实验所需的全部试剂,即用型病理级一抗、即用型病理级二抗和超敏DAB显色液配套使用,无需摸索稀释比例,有效缩短了实验时间,简化了繁琐的操作步骤,为IHC实验提供了极大便利。
⒉特异性强,灵敏度高,低背景
高灵敏一抗和HRP标记羊抗兔/鼠IgG二抗特异性强,灵敏度高,低背景,
实验过程安全、高效、省时、省力。超敏DAB浓缩液,灵敏度更高,显色更强,染色更稳定,提供更高的对比染色和信噪比。
⒊适用范围广
本产品可广泛用于以兔/小鼠单克隆或多克隆抗体为一抗的免疫组化实验,检测对象包括石蜡切片、冰冻切片和细胞爬片等。同一靶点包含多种产品,既有特异性识别单一物种,又有多物种适应性识别,可满足不同实验需要。
数据展示
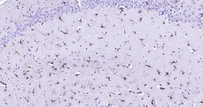
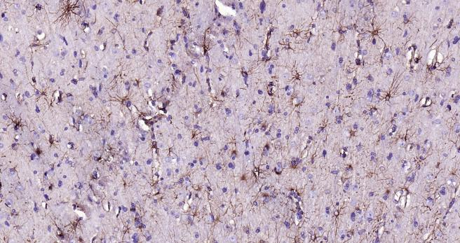
使用IHC0101(胶质纤维酸性蛋白IHC试剂盒)对石蜡包埋的大鼠脑组织切片进行免疫组化分析
使用IHC0101(胶质纤维酸性蛋白IHC试剂盒)对石蜡包埋的小鼠脑组织切片进行免疫组化分析
使用IHC0101(胶质纤维酸性蛋白IHC试剂盒)对石蜡包埋的人胶质瘤组织切片进行免疫组化分析
使用IHC0102(组蛋白H3(核内参)IHC试剂盒)对石蜡包埋的大鼠肝组织切片进行免疫组化分析

使用IHC0102(组蛋白H3(核内参)IHC试剂盒)对石蜡包埋的小鼠肝组织切片进行免疫组化分析
使用IHC0102(组蛋白H3(核内参)IHC试剂盒)对石蜡包埋的人肾组织切片进行免疫组化分析