10 年
手机商铺
公司新闻/正文
797 人阅读发布时间:2024-07-24 12:01
01 结直肠癌
结直肠癌(colorectal cancer, CRC):胃肠道中常见的恶性肿瘤,包括结肠癌和直肠癌。癌瘤大多数为腺癌,少数为鳞状上皮癌及粘液癌。结直肠癌的发病率从高到低依次为直肠、乙状结肠、盲肠、升结肠、降结肠以及横结肠,近年有向近端(右半结肠)发展的趋势。其发病与生活方式、遗传、大肠腺瘤等关系密切。发病年龄趋老年化,男女之比为1.65:1。 结直肠癌早期无症状,或症状不明显,仅感不适、消化不良、大便潜血等。随着癌肿发展,症状逐渐出现,结直肠癌因部位不同而表现出不同的临床症状及体征。肿瘤因转移、浸润可引起受累器官的改变。 结直肠癌的发生与高脂高蛋白低纤维素饮食、大肠慢性炎症、大肠腺瘤、遗传因素和其他因素如:血吸虫病、盆腔放射、环境因素(如土壤中缺钼)、吸烟、年龄因素、肥胖及化学物质等有关。02 结直肠癌常用肿瘤标志物
MUC2
Ki-67
Ki-67蛋白是增殖的细胞标志物,与细胞增殖密切相关[8]。其增殖指数是反映细胞增殖的特异性指标,能比较有效地反映细胞的过度增殖情况,与肿瘤分化程度、肿瘤浸润深度、区域淋巴结转移、临床分期及预后有关[9]。
在结直肠癌中,p53也是衡量预后的指标之一。结直肠癌存活率与Ki-67(R=-0.67, p<0.001)和p53(R=-0.64, p<0.001)的表达都呈负相关,Ki-67和p53的过表达都会导致预后不良[10]。 IHC染色定位:主要定位于细胞核。
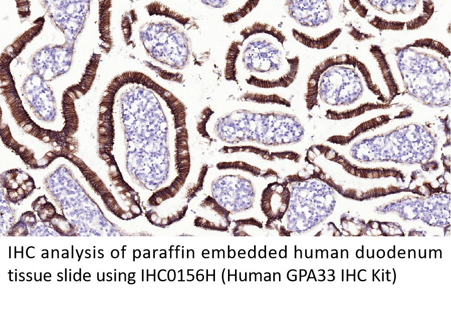
GPA33
GPA33(A33)基因编码A33抗原,A33抗原是免疫球蛋白超家族的I型跨膜糖蛋白,在正常结肠和小肠上皮细胞以及95%以上的结肠癌患者中表达,在分化良好的肿瘤中尤其明显,是一种有效的标志物[11-12]。有研究提议将GPA33抗体用于放疗来治疗人GPA-33阳性的结直肠癌[13]。
IHC染色定位:在高分化肿瘤和正常组织中,染色通常是膜性的,但在低分化和黏液性肿瘤中,可能主要是细胞质或细胞核。
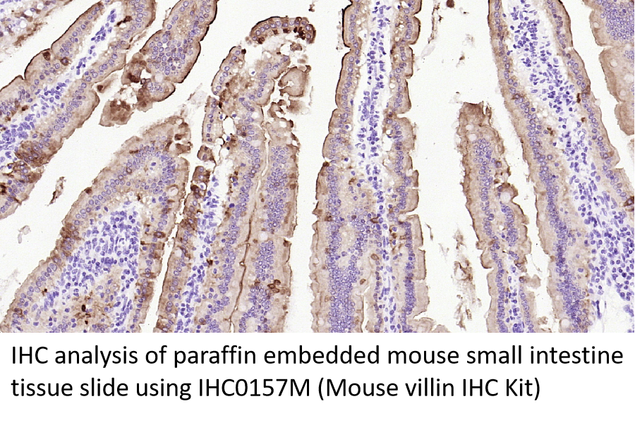
Villin
绒毛蛋白(Villin)是一种actin结合蛋白,在肠上皮细胞表达,调控结直肠癌的上皮-间质转化(EMT),也参与上皮细胞微绒毛的维持,在结直肠腺癌中阳性率达93%,癌细胞胞质弥漫强(+)伴刷状缘着色加重[14]。研究表明,Villin表达缺失是低分化结肠癌的一个特征,尤其是微卫星不稳定(MSI)肿瘤,并与生存率低有关[14]。
IHC染色定位:细胞质。
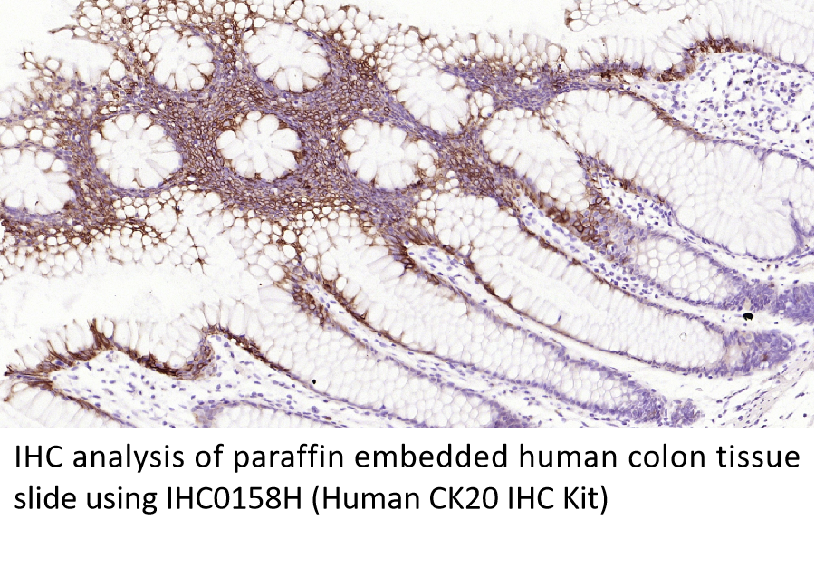
CK7(KRT7) / CK20(KRT20)
CK7是一种在肠上皮细胞中表达的细胞角蛋白,在包括结肠在内的许多组织中表达,在结肠中其表达仅限于腺细胞。CK20是在结肠直肠隐窝中的上皮细胞中表达的角蛋白,该蛋白的表达水平从隐窝底部(不存在)到顶部逐渐增加,经常被用作结肠中的一种分化标记[15]。
大多数结直肠癌呈CK7完全阴性/CK20胞质弥漫强阳性,约20%呈CK7(+)/CK20(+),因此CK7/CK20组合应用有助于结直肠腺癌的鉴别诊断。CK7和CK20在结直肠癌的表达随组织学分级和肿瘤部位的不同而不同[16-18]。
虽然大多数肿瘤具有高水平的CK20,但在侵袭性、低分化的结直肠肿瘤和MSI发生率高的结直肠肿瘤中可能呈阴性染色[16, 19]。而在侵袭性强、预后差的BRAF突变的微卫星稳定型结直肠癌中,CK7的表达水平高于其他典型阴性亚型[20]。
IHC染色定位:细胞质。
03 博奥森IHC Kit验证数据






常见肿瘤标志物即用型IHC Kit产品
参考文献
1.VONLANTHEN, Silvia, et al. Heterozygosity of SNP513 in intron 9 of the human calretinin gene (CALB2) is a risk factor for colon cancer. Anticancer research, 2007, 27.6C: 4279-4288.
2.GOTZOS, Vassilis, et al. Selective distribution of calretinin in adenocarcinomas of the human colon and adjacent tissues. The American journal of surgical pathology, 1999, 23.6: 701-711.
3.WINN, Brody, et al. Differentiating the undifferentiated: immunohistochemical profile of medullary carcinoma of the colon with an emphasis on intestinal differentiation. Human pathology, 2009, 40.3: 398-404.
4.LIN, Fan, et al. Cadherin-17 and SATB2 are sensitive and specific immunomarkers for medullary carcinoma of the large intestine. Archives of Pathology and Laboratory Medicine, 2014, 138.8: 1015-1026.
5.BETGE, Johannes, et al. MUC1, MUC2, MUC5AC, and MUC6 in colorectal cancer: expression profiles and clinical significance. Virchows Archiv, 2016, 469: 255-265.
6.MOEHLE, Christoph, et al. Aberrant intestinal expression and allelic variants of mucin genes associated with inflammatory bowel disease. Journal of molecular medicine, 2006, 84: 1055-1066.
7.VELCICH, Anna, et al. Colorectal cancer in mice genetically deficient in the mucin Muc2. Science, 2002, 295.5560: 1726-1729.
8.SCHOLZEN, Thomas, et al. The Ki‐67 protein: from the known and the unknown. Journal of cellular physiology, 2000, 182.3: 311-322.
9.MELLING, Nathaniel, et al. High Ki67 expression is an independent good prognostic marker in colorectal cancer. Journal of clinical pathology, 2016, 69.3: 209-214.
10.LUMACHI, Franco, et al. Expression of p53 and Ki-67 as prognostic factors for survival of men with colorectal cancer. Anticancer research, 2012, 32.9: 3965-3967.
11.HEATH, Joan K., et al. The human A33 antigen is a transmembrane glycoprotein and a novel member of the immunoglobulin superfamily. Proceedings of the National Academy of Sciences, 1997, 94.2: 469-474.
12.BAPTISTELLA, Antuani R., et al. Heterogeneous expression of A33 in colorectal cancer: possible explanation for A33 antibody treatment failure. Anti-cancer drugs, 2016, 27.8: 734-737.
13.CHEAL, Sarah M., et al. Curative multicycle radioimmunotherapy monitored by quantitative SPECT/CT-based theranostics, using bispecific antibody pretargeting strategy in colorectal cancer. Journal of Nuclear Medicine, 2017, 58.11: 1735-1742.
14.ARANGO, Diego, et al. Villin expression is frequently lost in poorly differentiated colon cancer. The American journal of pathology, 2012, 180.4: 1509-1521.
15.MOLL, Roland, et al. Identification of protein IT of the intestinal cytoskeleton as a novel type I cytokeratin with unusual properties and expression patterns. The Journal of cell biology, 1990, 111.2: 567-580.
16.HARBAUM, Lars, et al. Keratin 20-a diagnostic and prognostic marker in colorectal cancer?. 2012.
17.HARBAUM, Lars, et al. Keratin 7 expression in colorectal cancer–freak of nature or significant finding?. Histopathology, 2011, 59.2: 225-234.
18.何建芳等. 实用免疫组化病理诊断. 2018.
19.MERLOS-SUÁREZ, Anna, et al. The intestinal stem cell signature identifies colorectal cancer stem cells and predicts disease relapse. Cell stem cell, 2011, 8.5: 511-524.
20.LANDAU, Michael S., et al. BRAF-mutated microsatellite stable colorectal carcinoma: an aggressive adenocarcinoma with reduced CDX2 and increased cytokeratin 7 immunohistochemical expression. Human pathology, 2014, 45.8: 1704-1712.