10 年
手机商铺
公司新闻/正文
1060 人阅读发布时间:2024-09-03 13:38
![]()

神经科学(neuroscience)也被称为脑科学(brain science),顾名思义,这是研究大脑结构与功能的学科。由神经细胞形成的神经系统是大脑执行功能的核心。不同种类的神经细胞发挥着不同的生理功能,而神经元结构和功能的丧失往往会导致神经退行性疾病的发生。无论是进行神经生物学的基础研究,还是研究疾病的发病机制、建立用于药物筛选的模型,都需要利用特定的细胞标志物准备地显示和识别神经系统的细胞类型。
通常我们将神经标志物检测作为研究大脑发育及神经细胞功能的重要手段,那么如何选择特异性抗体来靶向这些细胞标志物就至关重要了!
Bioss凭借丰富的抗体生产经验、严格的质检标准以及规模化的生产体系,所生产的抗体高特异性和高稳定性并存,助力您的课题研究!本期这篇文章,让您快、准、狠地知晓您研究的神经细胞及神经退行性疾病的标志物,建议收藏哦!
01神经细胞标志物及抗体选择
中枢神经系统包括两类主要细胞:神经元和神经胶质细胞。
神经元是构建大规模神经网络系统的基础,当信号通过神经递质作用从一个神经元经过突触间隙传递至另一个神经元时,会发生突触信号转导,这些神经递质包含如多巴胺、谷氨酸和GABA等。研究中常用的神经元特异性胞内蛋白标记物有神经元胞核(NeuN)和β3-微管蛋白(TUBB3)。
神经胶质细胞,是神经组织中除神经元以外的另一大类细胞,广泛分布于中枢和周围神经系统。在哺乳类动物中,神经胶质细胞与神经元的细胞数量比例约为10:1。在中枢神经系统(CNS)中的神经胶质细胞主要有星形胶质细胞、少突胶质细胞(与前者合称为大胶质细胞)和小胶质细胞等。星形胶质细胞表达重要的标志物有GFAP、S100B等;IBA1是一种钙结合蛋白,特异表达在中枢神经系统的小胶质细胞。

不同类型的神经细胞
当然,除了以上列出的几种神经细胞标志物之外,针对神经系统发育过程中的各种神经细胞,还有更多、更细致的特异性靶点,被用于标记各类神经细胞,在这里就不一一赘述了。详见下表。
产品展示

02神经退行性疾病标志物及抗体选择
神经退行性疾病是进行性神经系统功能障碍,其特点是神经元细胞功能丧失,使人衰弱并且难以治愈。主要包括阿尔茨海默病、帕金森病、多发性硬化症、肌萎缩侧索硬化症和共济失调。共同特征是不溶性的错误折叠蛋白大量聚集,损害神经元的结构和功能。神经科学蛋白生物标志物逐渐成为判定疾病如神经系统疾病的重要指标,下面是常见的神经退行性疾病的标志物及相应推荐抗体。
产品展示

03部分产品优质数据展示
GFAP Rabbit pAb | 兔多抗 | 货号: bs-0199R | 文献引用:89篇

Vimentin Mouse mAb | 鼠单抗 | 货号: bsm-33170M | 文献引用:8篇

TUBB3 (Neuronal Marker) Mouse mAb | 鼠单抗 | 货号: bsm-33177M | 文献引用:3篇

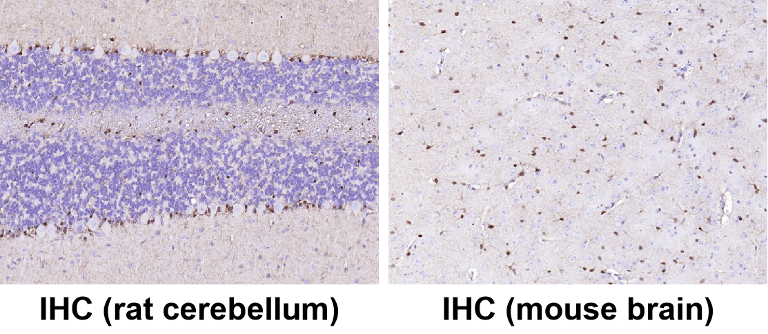
S100B Mouse mAb | 鼠单抗 | 货号: bsm-10832M | 文献引用:3篇

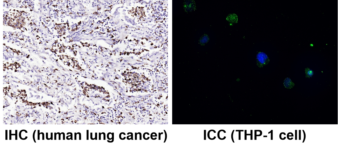
CD68 Recombinant Rabbit mAb | 重组兔单抗 | 货号: bsm-60634R | 文献引用:1篇

beta-Amyloid(1-42) Mouse mAb | 鼠单抗 | 货号: bsm-41470M | 文献引用:1篇
